Acerca de Viviana DalponteInstalacionesCasos clínicosRecomendacionesContacto
 
 

 



Viviana Dalponte

   
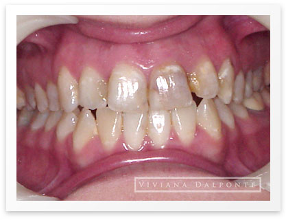
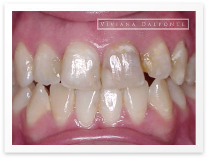
CASO 1: Restauración de seis dientes anteriores con coronas de circonia


 
 
   
Diseño: A&F Informática