Acerca de Viviana DalponteInstalacionesCasos clínicosRecomendacionesContacto
 
 

 



Viviana Dalponte

   
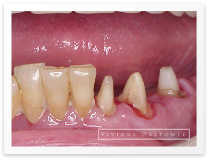
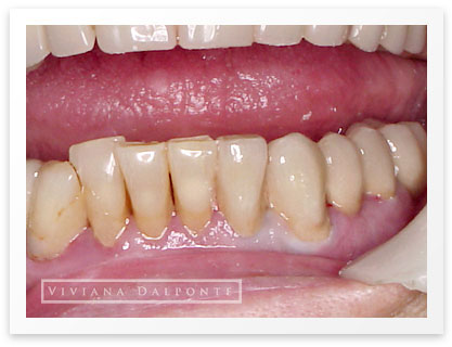
CASO 3: Resolución de caso clínico paciente con restos radiculares recuperados con pernos de fibra de vidrio y coronas de porcelana ceramometálicas

 
 
   
Diseño: A&F Informática