Acerca de Viviana DalponteInstalacionesCasos clínicosRecomendacionesContacto
 
 

 



Viviana Dalponte

   
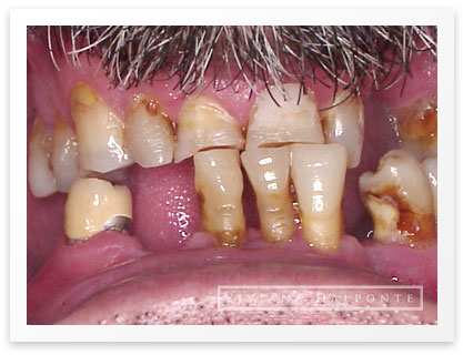
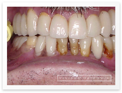
CASO 4: Reconstrucción de maxilar superior con prótesis fija

 
 
   
Diseño: A&F Informática