Acerca de Viviana DalponteInstalacionesCasos clínicosRecomendacionesContacto
 
 

 



Viviana Dalponte

   
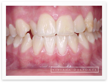
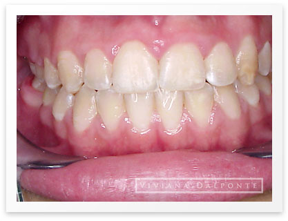
CASO 8: Corrección de incisivo lateral con ortodoncia

 
 
   
Diseño: A&F Informática