Acerca de Viviana DalponteInstalacionesCasos clínicosRecomendacionesContacto
 
 

 



Viviana Dalponte

   
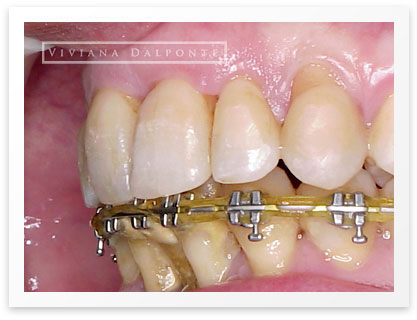
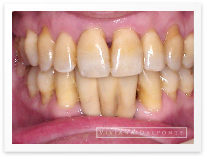
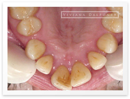
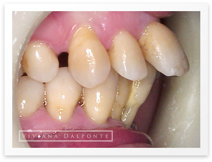
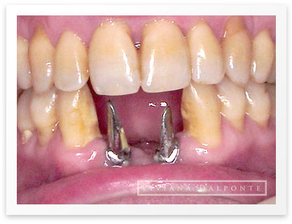
CASO 9: Caso clínico combinado de ortodoncia en ambos maxilares e implantes en maxilar inferior

 
 
   
Diseño: A&F Informática