Acerca de Viviana DalponteInstalacionesCasos clínicosRecomendacionesContacto
 
 

 



Viviana Dalponte

   
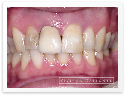
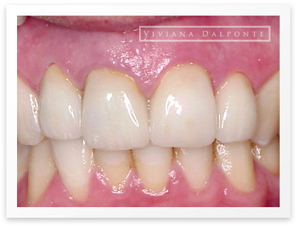
CASO 10: Rehabilitación de cuatro incisivos superiores con coronas de circonia

 
 
   
Diseño: A&F Informática